Unusual Presentation of Congenital Ileal Stenosis in a Neonate
, Syeda Naqvi1, *, M. Abdoun1,
, Ibrahim Sbou2, Abdulrahman Al Zahrani1- DOI
- 10.2991/dsahmj.k.210215.001How to use a DOI?
- Keywords
- Intestinal obstruction; ileal stenosis; neonate
- Abstract
The presentation of congenital intestinal stenosis in neonates can vary from mild intermittent feeding intolerance resulting in difficulty of clinical judgment to profound obstruction. This report describes one case of ileal stenosis whose radiological investigations were not favoring intestinal obstruction and was diagnosed after surgical exploration.
- Copyright
- © 2021 Dr. Sulaiman Al Habib Medical Group. Publishing services by Atlantis Press International B.V.
- Open Access
- This is an open access article distributed under the CC BY-NC 4.0 license (http://creativecommons.org/licenses/by-nc/4.0/).
1. INTRODUCTION
Congenital jejunoileal atresias are one of the major causes of neonatal intestinal obstruction. In 1955, Louw and Barnard demonstrated the role of late intrauterine mesenteric vascular accidents as the likely cause of jejunoileal atresias in neonates [1]. Congenital intestinal stenosis (partial obstruction) is less common than atresia (complete obstruction) and can result in late presentation of clinical symptoms [2]. Jejunoileal atresias have an estimated incidence of one per 1500–5000 live births, with jejunal involvement in 51% and ileal in 49% of total cases. They are usually detected in the third trimester of pregnancy. Jejunoileal stenosis, by contrast, is rarely seen [3]. The diagnosis may be difficult as it does not present in the usual pattern. Polyhydramnios is not the common antenatal finding as it is more evident in ileal atresias [4,5]. In this report we describe a 7-day-old neonate who presented with features suggestive of intestinal obstruction but normal radiological findings and was diagnosed only after laparotomy. To the best of our knowledge, there have been no studies reporting the presentation of ileal stenosis in a neonate with normal radiography.
2. CASE REPORT
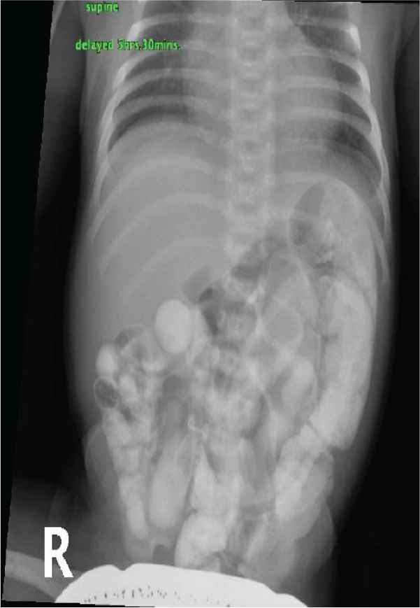
A full-term male with an unremarkable antenatal and perinatal history admitted on the date of birth to the Neonatal Intensive Care Unit (NICU) because of transient tachypnea of the newborn. During his stay, he developed episodes of hypoglycemia and intermittent yellow to green vomiting. There were no significant findings in the abdominal Ultrasound (US) and X-ray. He was discharged against medical advice as requested by the mother on the 3rd day of life. The baby stayed at home for 4 days with a history of intermittent vomiting. He was later readmitted to the NICU because of recurrent bilious vomiting and clinical jaundice on the 7th day of life. During his stay, he developed episodes of hypoglycemia and received phototherapy for prolonged jaundice and was kept Nill per oral (NPO) initially. Trials to resume feeding were always associated with intermittent vomiting, which was sometimes bilious or fecal. The result of abdominal examination was unremarkable. Interestingly, there was no distension, and the baby passed stool frequently. All workup to rule out sepsis, including metabolic disorders, were benign. Moreover, imaging studies, including abdominal US, X-ray, and upper and lower gastrointestinal tract contrast study (Figures 1–6, respectively), all revealed nonsignificant findings. Eventually, an explorative laparotomy was performed on the 17th day of life, which showed ileal stenosis (Figure 7), 32 cm from the ileocecal valve. The stenotic area was resected, and end-to-end anastomosis was carried out. Feeding was slowly started on the 5th postoperative day. He gradually reached full feeding with no vomiting and was discharged home on the 27th day of life and has been well since then.

Barium enema.

Barium meal – 30 min.

Barium meal – 1 h.

Barium meal – 3 h.

Barium meal, supine – 5 h.

Barium meal, prone – 5 h.

Stenotic ileal segemnt (blue arrow).
3. DISCUSSION
Data on congenital intestinal stenosis in neonates are few. In this report, we describe a unique presentation of ileal stenosis in a newborn, which is not frequently encountered in clinical practice. Because of its rare occurrence, it needs to be emphasized that ileal stenosis in a newborn might not show the typical symptoms of intestinal obstruction. Our patient presented with persistent vomiting and prolonged jaundice without any other signs of intestinal obstruction or any antenatal polyhydramnios. Unlike ileal atresia, the presentation of the stenotic segment can be subtle and challenging to diagnose. The findings are nonspecific and hardly discriminate from other causes, such as sepsis. The stenosed area allows for the passage of intestinal contents to some extent, and the typical signs and symptoms of obstruction are not evident. A similar presentation has been reported by On et al. [2] in a 1-month-old infant with ileal stenosis; however, to the best of our knowledge, no cases have been reported in neonates.
In congenital intestinal atresia, radiographic examination of the abdomen with X-ray and contrast studies is a useful diagnostic tool. For proximal jejunal and ileal atresia, the presence of a few dilated proximal bowel loops with no distal gas is observed. Intraperitoneal calcification can be seen in prenatal bowel perforation or meconium peritonitis [6]. Malrotation is ruled out using an upper gastrointestinal series contrast study. A contrast enema is used to reveal the atypical appearance of the colon, as may be seen in meconium ileus or Hirschsprung disease. If the contrast passes into the dilated loop of bowel, then atresia is ruled out. Ileal stenosis can be distal or proximal; in the case of proximal ileal involvement, the colon is usually normal in size as sufficient succus entericus reaches the colon from the small bowel distal to the obstruction as in our case; however, in distal involvement, it is generally unused and microcolon less than 1 cm in diameter is seen. Thus, clinicians should always consider the possibility of congenital intestinal stenosis in any newborn with unexplained vomiting even if the radiological data are not significant. The prognosis is excellent if treated with surgery.
4. CONCLUSION
This report emphasizes that congenital ileal stenosis can present without radiological finding of intestinal obstruction. Therefore, it is crucial to consider congenital ileal stenosis as part of unexplained vomiting in neonates in the absence of intestinal obstruction signs. Early diagnosis and treatment could help to reduce mortality and prevent further complications.
CONFLICTS OF INTEREST
The authors declare they have no conflicts of interest. All co-authors have seen and agree with the contents of the manuscript and there is no financial interest to report.
AUTHORS’ CONTRIBUTION
EMH, SN, MA and AAZ contributed in conceptualization, review, and editing the manuscript. MA contributed in data collection. SN contributed in writing the original draft. EMH supervised the project. All the authors reviewed the manuscript and approved the final draft.
REFERENCES
Cite this article
TY - JOUR AU - Ehab M. Hantash AU - Syeda Naqvi AU - M. Abdoun AU - Ibrahim Sbou AU - Abdulrahman Al Zahrani PY - 2021 DA - 2021/02/19 TI - Unusual Presentation of Congenital Ileal Stenosis in a Neonate JO - Dr. Sulaiman Al Habib Medical Journal SP - 45 EP - 47 VL - 3 IS - 2 SN - 2590-3349 UR - https://doi.org/10.2991/dsahmj.k.210215.001 DO - 10.2991/dsahmj.k.210215.001 ID - Hantash2021 ER -